82
0
0
Like?
Please wait...
About This Project
Med Biotech Laboratories
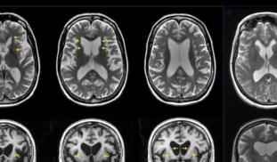
Nodding Disease Syndrome (NDS) is a brain disease that affects children in Uganda. We currently don’t know of the exact cause of NDS, nor have a reliable form of diagnosis. This project aims to answer both of these questions by first investigating a link between a suspected brain protein which might be related to NDS, and a protein related to a parasitic worm disease, and to measure levels of this protein in affected/unaffected children.

Browse Other Projects on Experiment
Related Projects
The extention of life: A prosthetic that learns and adapts to the user in real time
Current prosthetics are often rigid, expensive and require users to adapt to the tools' limitations. This...
Rapid assessment of schizophrenia with a simple visual test
What if schizophrenia could be detected in 30 seconds? Today it's diagnosed through extended clinical interviews...
Vision for the future: Understanding perceptual strategies following visual loss
Many people will experience a decline in vision at some point in their life. For many people, this may be...

