Please wait...
About This Project
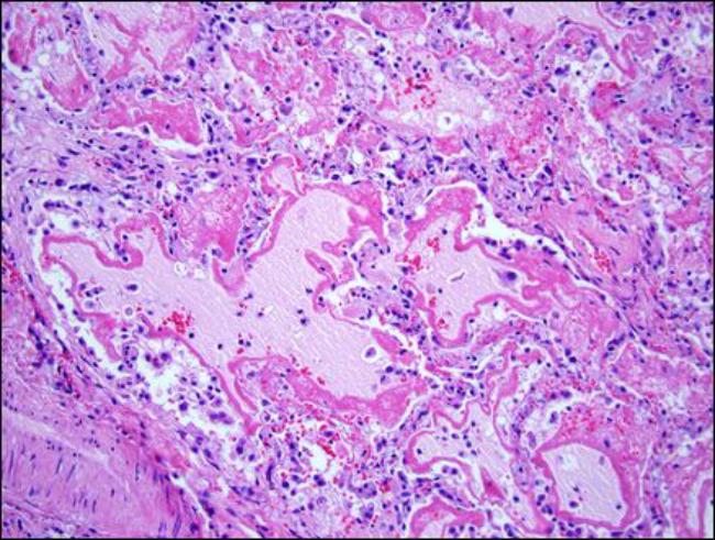
Acute respiratory distress syndrome (ARDS) is a common deadly illness often seen in the intensive care unit. Macrophages, the first responders of our immune system, are always found in lungs of patients with ARDS. However, it is unclear if there is a subset of cells that act as the main propagators of the disease. I believe we can find a subset of these cells that when targeted, may help us stop or even reverse ARDS.
More Lab Notes From This Project

Browse Other Projects on Experiment
Related Projects
Toward ethical and affordable antivenom solutions: Can anti-toxin be animal cruelty-free?
Snakebite envenoming causes over 100,000 deaths annually, yet current antivenoms depend on animal plasma...
Microplastics: Can engineered enzymes remove microplastics from the human body?
Polyethylene terephthalate (PET) microplastics have been detected in human blood and tissues, and linked...
Shutting down cancer’s recycling system with exosome-based therapy
Pancreatic cancer is one of the deadliest cancers because its cells survive by recycling their own components...





